Dantų implantai

+370 679 55505

Krūminio danties gydymas

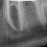
Pacientė kreipėsi dėl krūminio danties endodontinio gydymo. Pacientė skundėsi burnos ertmėje,  pažeisto danties projekcijoje, atsiradusia fistule („pūlinuku“). Dantis izoliuotas nuo seilių koferdamu, išvalyti karieso pažeisti audiniai, suformuota ertmė endodontiniam gydymui, kanalai išvalyti, taikyta kalcio hidroksido terapija. Išnykus fistulei , krūminio danties kanalai užplombuoti.

  • Danties nuotrauka prieš gydymą

  • Kanalai išvalyti, paruošti plombavimui, atlikta nuotrauka su plombine medžiaga

  • Užplombuoti danties šaknų kanalai

Endodontija © 2026. Visos teisės saugomos.

Sukūrė: